Loading...
Mon - Fri : 09.00 AM - 09.00 PM
+91 9889326489

"Every patient is picture of god to serve him is to worship god"

12

Expert Doctors

20

Medical Staff

500

Total Patients

About Us

Dr. Prasundeep

B.D.S. (LUCKNOW) ,M.I.D.A. ORAL & DENTAL SURGEON

Dr.prasun deep is a leading dentist in the field of endodontics treatment moreover, cosmetic dentistry. he has a keen interest in satisfing his patient’s with his charisma, enthusiasm and a good comand on his hand.

Dr. Megha Gupta

B.P.T.(BHOPAL), M.I.A.P., D.N.H.E. PHYSIOTHERAPIST & DIETICIAN

Dr.megha gupta is a top leading physiotherapist as well as dietician.she has been providing full fleged services for so many years.she provides effective,clean and safe treament for all patient’s.

Services

Dental Services

Dental is the branch of the healing arts and sciences devoted to maintaining the health of the teeth, gums, and other hard and soft tissues of the oral cavity and adjacent structures. A dentist is a scientist and clinician dedicated to the highest standards of health through prevention, diagnosis and treatment of oral diseases and conditions. 

We take care of your smile which ultimately reflects your personality.

Root Canal Treatment

ENDODONTIC- Root Canal Therapy is a special dental procedure involving removal of the pulp as pulp tissue dies or gets infected.

Read More

Restoration

The specialty of Conservative Dentistry deals with prevention and treatment of disease and injuries of the teeth....

Read More

Orthodontic Treatment

ORTHODONTIC TREATMENT- Dental treatment that corrects irregularities of the teeth or of the relation ...

Read More

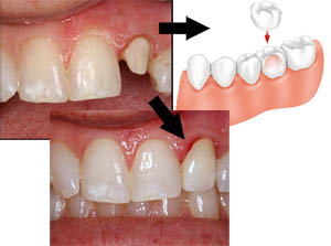
Fixed & removable replacment for missing teeth

Fixed & removable replacment for missing teeth are a clear,

Read More

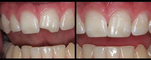
Cosmetic Treatment

Cosmetic treatment involves various procedures to enhance the appearance of teeth, gums, and overall smile.

Read More

General Dentistry

General Dentistry, commonly referred to as dental cleaning or prophylaxis, is a routine procedure by a dental hygienist .

Read More

Services

Physiotherapy Services

Physiotherapy is a science-based profession and takes a ‘whole person’ approach to health and w ellbeing, which includes the patient’s general lifestyle. Physiotherapists help people affected by injury, illness or disability through movement and exercise, manual therapy, education and advice. 

We maintain health for people of all ages, helping patients to manage pain and prevent disease. The profession helps to encourage development and facilitate recovery, enabling people to stay in work while helping them to remain independent for as long as possible.

Orthopaedic Condition

Orthopaedic conditions cover a wide range of musculoskeletal disorders affecting the bones, joints, ligaments, tendons, and muscles.

Read More

Neurological Condition

Neurological Conditions are a long-lasting solution for replacing missing teeth. They consist of titanium posts surgically placed into the jawbone.

Read More

Other Conditions

Other Conditions include a variety of issues such as Antenatal and Postnatal Care, Post-Operative Rehabilitation, and Gynaecological Problems .

Read More

Body Fitness Training & Diet Chart

A balanced diet and regular fitness training are essential for overall well-being. They promote good health, ...

Read More

Features

Why Choose Us

Experience

Doctors

Quality

Services

Positive

Consultation

24 Hours

Support

Doctors

Our Experience Doctors

Dr. Prasundeep

Dentist

Dr. Megha Gupta

Dentist

Doctor Name

Department

Appointment

Make An Appointment To Visit Our Doctor

Call Us Now

+91 9889326489

Mail Us Now

dr.prasundeep@gmail.com

Testimonial

What Say Our Patients!